詰 め 物

(インレー)

か   ぶ   せ

(クラウン・ブリッジ)

ラミネートベニア

ホワイトニング

メラニン除去

詰め物(インレー)

金合金(審美的ではありません)

・保険の金属に比べ、適合がよく歯と密着しやすいので新しい虫歯ができにくい。

・硬さが歯と近いので、かみ合わせる相手の歯にもやさしい。

・金属なので、見た目がよくない。

ハイブリッドインレー

・セラミックほどではないが、白いので見た目がよい。

・硬さが歯と近いので、かみ合わせる相手の歯にもやさしい。

・最近、型を取らずに直接口の中でできる材料ができ、場合によってはその日のうちに入る。

・金属アレルギーの心配がない。

・保険の材料ほどではないが吸水によって、経年的に変色する。

セラミックインレー

・透明感があり、詰め物の中では一番審美的。

・金属アレルギーの心配がない。

・歯軋りなど過度の力がかかると、割れることがある。

かぶせ(クラウン・ブリッジ)

金合金クラウン・ブリッジ(審美的ではありません)

・保険の金属に比べ、適合がよく歯と密着しやすいので新しい虫歯ができにくい。

・硬さが歯と近いので、かみ合わせる相手の歯にもやさしい。

・金属なので、見た目がよくない。

ハイブリッド+メタル 

・保険の白い歯と比べ吸水性が少なく、変色が少ない。

・セラミックスに比べ透明感が少ない。

メタルセラミック

・金合金の上にセラミックスで白い部分を作る方法。

・保険の白い歯より透明感があり、経年的に変色することがない。

・オールセラミックスほどではないが、天然に近い歯を再現できる。

・見えない部分(裏側)ではあるが、金属が露出している部分がある。

・変色することはほとんどない。

オールセラミック(酸化アルミナ ジルコニア) 

・光の透過性がよいためすべてのクラウン、ブリッジと比べ審美性が優れている。

・光の透過性がよいため歯肉の色がすべてのクラウン、ブリッジと比べ明るくなる。

・変色することはほとんどない。

・歯軋りなど過度の力がかかると、割れることがある。

・「酸化アルミナ」と「ジルコニア」を使う2種類の方法があるが、ジルコニアの方が強度、精度に優れている。

メタルセラミックスとオールセラミックスの比較

治療前

治療後

術前、術後で白丸部分の歯肉の色の変化を比べてみれば分かると思いますが、メタルセラミックスよりオールセラミックスは、歯肉の色が明るくより自然です。 これは、メタルセラミックスでは、中のメタルが外からの光を遮断してしまうためで、アンブレラ効果といわれているもののために起こります。 

ラミネートベニヤ

治療前

治療後

・特に前歯などで多いが、歯の表面の見える部分だけを削り、薄いセラミックスを貼り付ける方法です。ちょうど歯の「つけ爪」のようなものです。つけ爪のように何度も変えたりするわけではありません。

・変色がひどい場合や、歯の形を変えたりする場合に用いらる方法です。

この患者さんは前歯6本のみ行いました。下の歯と比べても違いはよく分かっていただけるかと思います。
著しい歯の変色や形の悪さでお悩みの方には、この方法できれいな歯に見せることができます。

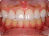
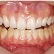
ホワイトニング

歯の漂白のことです。家で夜寝るときにマウスピースをつけてもらう方法と歯科医院でする方法がある。

この患者さんは、ホワイトニングの効果を確認するため、上の歯のみにホワイトニングしました。効果がはっきり分かる写真です。実物を見られたい方はお声をかけてください。 

ホームホワイトニング

治療前

治療後

メラニン除去

治療前

治療後

・歯茎の黒ズミを除去します。特に喫煙者の方、気になりませんか?

・レーザーを歯茎にあてることでピンク色の歯茎になります。