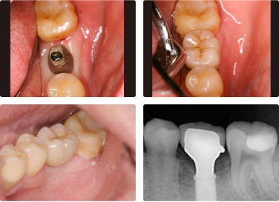
インプラント

メタルセラミクスと
オールセラミクスの比較

メタルクラウンと
オールセラミクスの比較

ラミネートベニア

メラニン除去

ホーム
ホワイトニング

ムーシールドによる
小児の矯正

インプラント

治療前

治療後

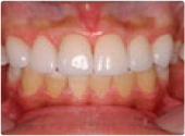
メタルセラミックスとオールセラミックスの比較

治療前

治療後

術前、術後で白丸部分の歯肉の色の変化を比べてみれば分かると思いますが、メタルセラミックスよりオールセラミックスは、歯肉の色が明るくより自然です。 これは、メタルセラミックスでは、中のメタルが外からの光を遮断してしまうためで、アンブレラ効果といわれているもののために起こります。 

メタルクラウンとオールセラミックス比較

治療前

治療後

オールセラミックスにすることで歯茎の色まできれいになります。 

ラミネートベニヤ

治療前

治療後

・特に前歯などで多いが、歯の表面の見える部分だけを削り、 薄いセラミックスを貼り付ける方法です。ちょうど歯の「つけ爪」のようなものです。つけ爪のように何度も変えたりするわけではありません。

・変色がひどい場合や、歯の形を変えたりする場合に用いらる方法です。

 この患者さんは前歯6本のみ行いました。下の歯と比べても違いはよく分かっていただけるかと思います。

 著しい歯の変色や形の悪さでお悩みの方には、この方法できれいな歯に見せることができます。

メラニン除去

治療前

治療後

・歯茎の黒ズミを除去します。特に喫煙者の方、気になりませんか?

・レーザーを歯茎にあてることでピンク色の歯茎になります。 

ホームホワイトニング

治療前

治療後

ムーシールドによる小児の矯正

治療前

治療後

この症例は、乳歯列(5歳)の受け口を「ムーシールド」という就寝中に使う矯正装置を使用して治療しました。受け口のままでいると、永久歯に生え変わったときにも受け口になりやすいです。 乳歯列の時から出来ることを積極的にすると、成人になって矯正をしなくてすむ確率も上がります。