宝塚市 伊丹市 歯科 審美歯科 ホワイトニング インプラント レーザー治療 ますだ歯科医院

フェイスブックページ
院内あんないアイコン

インプラント


インプラントイメージ

インプラント

インプラントとは、失ってしまった天然歯の替わりに、人工の歯根を顎の骨に埋め込み、その上に人工の歯を装着する治療法です。従来の入れ歯とは違って、健康な歯を削る必要もなく、固定性であるためガタついたりせず、自分の歯と同じように“食べる・話す”ことが出来るようになります。 


スペーサー

どんな人に適しているの?

  • 取り外しの入れ歯が嫌いな人、または仕事その他の事情で不都合な人。
  • 歯が抜けた所を治療するために残っている歯を削られたくない人。
  • 入れ歯で、発音や発生に不便を感じている人。
  • 総入れ歯が合わず、生活にも支障をきたし、不快感を抱いている人。
  • 歯周疾患などでたくさんの歯がなくなり、入れ歯を装着すると残っている歯に悪影響を及ぼすと考えられる人。

インプラントの取扱方法

インプラントの取扱方法イメージ

インプラント自体を材質的に考えると半永久的なものです。しかし、実際に考えなければならないことは、生体との調和です。したがってその寿命は、患者様のお口の手入れによってきまります。天然歯と同様に、手入れが悪ければインプラントの寿命も短くなります。治療後の口腔衛生管理はとても大切ですので歯科医師、歯科衛生士の指導にしたがってお手入れの方法を学んで下さい。 また、人間の体は年齢とともに変化してゆきますから、インプラントも定期的に調整する必要があります。定期検診で適切な処置をしておくことが、インプラントの寿命を延ばすことにつながります。

歯を一本、失った場合は?

インプラントを行う前イメージ

インプラントを行う前

前歯が欠損し、大きな隙間が存在するために笑顔に自信が持てませんでした。


下矢印
インプラント装着後イメージ

インプラントを装着後

天然歯と区別がつかないほど自然な状態にもどりました。

スペーサー

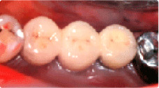
失った歯が何本もある場合は?

インプラントを行う前イメージ

インプラントを行う前

複数の歯が欠損することで、正常な歯列の機能を妨げ、フェイスラインにも悪影響を与える恐れがあります。


下矢印
インプラント装着後イメージ

インプラントを装着後

正常な機能と美しいフェイスラインを取り戻します。

スペーサー

総入れ歯の場合は?

入れ歯イメージ

取りはずし式の総入れ歯
(フルデンチャー)

入れ歯安定剤が必需品ともいえる取りはずし式の総入れ歯は、特有の不具合がまだ未解決のままです。


取り外し式インプラントイメージ

インプラント支持の取りはずし式総入れ歯 (義歯)

インプラント支持の取りはずし式総入れ歯は、装着した状態で、顎の骨と固定させるため、従来の治療法と比べ義歯の安定度が違います。


インプラント固定式義歯

インプラント支持の固定式義歯
(ブリッジ)

固定されたインプラントが支持する義歯(ブリッジ)は、常に固定された状態なので、安定した咀嚼力と快適な生活を可能にします。


▲PAGETOP